近日,复旦大学类脑智能科学与技术研究院院长冯建峰教授、罗强副研究员团队,与英国剑桥大学、伦敦国王学院等单位合作,研究青少年中注意缺陷多动障碍(Attention Deficit Hyperactivity Disorder, ADHD,以下简称“多动症”)双通路模型的神经基础,发现左楔叶结构不仅和多动症的认知和动机功能受损相关,还与多动症的遗传风险相关,并且可以预测2年后的多动症症状,很可能提供了多动症的一种影像学标记物。5月7日,这一研究成果以《青少年中多动症双通路模型的神经基础》(“Neural correlates of the dual pathway model for attention-deficit/hyperactivity disorder in adolescents”)为题在线发表于《美国精神病学杂志》(The American journal of psychiatry)。
全球约有5.9%–7.1%的少年儿童受到多动症影响,其中高达50%–66%会持续到成年期。在我国,多动症患病率约为6.3%。多动症症状可能表现在很多方面,最常见的包括注意力难以集中、难以持续,多动、冲动、学业成绩较差。以往通过症状组合诊断的多动症表现出很高的异质性,提示可能存在多条相对独立的发病机制,因此有了著名的多动症发病机制“双通路”假说:相对独立的认知通路(比如工作记忆、注意管理)和动机通路(比如延迟折扣)的发育异常的不同组合可能是多动症临床异质性的原因。但是,在人脑中,多动症所造成的影响是否可以分开到两个独立的系统(即认知系统和动机系统),一直缺乏神经影像学的证据。
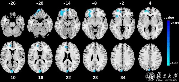
该研究利用大型的欧洲青少年群体神经科学影像学随访队列(n=1963),发现前额叶(特别是腹内侧前额叶、背侧前扣带回和前岛叶)和枕叶区(特别是左侧楔叶)的灰质体积越小,多动症的症状越严重(图1)。

图1: 前额叶和枕叶区的灰质体积越小多动症症状越严重
研究人员利用心理认知表型测试工具,详细评估了工作记忆、注意管理、反应抑制、延迟折扣等,通过关联分析,进一步发现,工作记忆、注意管理、延迟折扣都与左楔叶的灰质体积存在显著的负相关。换句话说,在多动症中,认知通路损害以及动机通路损害有共同的脑关联——左楔叶偏小。因此,这一发现可能对多动症“双通路”假说的认知和动机通路独立性作出重要修订。
研究人员发现多动症遗传风险(即多基因风险评分)越高,多动症症状越严重、工作记忆越差、延迟厌恶越明显,并且该遗传风险仅和左楔叶的灰质体积表现出显著的统计相关性。“通过随访队列数据分析,我们还进一步发现14岁时的左楔叶灰质体积可以显著提高对2年后多动症症状的预测准确率。”罗强说。
在独立的临床样本中,该脑区的灰质体积在未服用多动症治疗药物的患者群体中最小、在健康对照中最大,而在接受多动症药物治疗的患者群体中,该脑区的灰质体积大小处于中间水平。“利用大规模的神经影像数据,这项重要研究为多动症治疗药物确实可以挽救多动症患者关键脑区中的灰质体积过小提供了全新的证据。”英国国家学术院及医学科学院两院院士、复旦大学特聘教授、剑桥大学荣誉博士、精神医学系教授芭芭拉•萨哈金评论道。
该研究表明,多动症的双通路模型同时存在分离的和共同的脑结构基础。左侧枕叶灰质体积和多动症症状相关,和认知与动机两条通路的受损情况相关,和多动症遗传风险相关,对多动症的症状具有预测性,并且与多动症药物治疗紧密相关。据冯建峰介绍,该研究的发现或有助于构建多动症的影像学标记,帮助精确诊断和疗效评估。
复旦大学类脑智能科学与技术研究院博士生沈春是该论文的第一作者,冯建峰和罗强为共同通讯作者。该研究得到国家自然科学基金、上海市脑与类脑智能基础转化应用研究市级科技重大专项以及上海市科委科技创新计划等的经费支持。








