编者按:从疾病精准诊断到个性化治疗方案制定,从流程优化到暖心故事,复旦上医人始终践行着“为人群服务”的精神,复旦各附属医院始终在建设“健康中国”的前沿探索创新。
为让大众更深入了解这些卓越实践,复旦上医将持续推出医疗服务、技术创新及医学人文等方面的温暖故事,展示医疗成就,传承医学精神,努力搭建大众与医疗行业沟通的桥梁,展现医务工作者的努力担当以及医学背后的人文之光。
当医学的温度与科技的精度相遇,生命便有了穿越绝境的力量。近日,复旦上医人以五场穿越生死线的微创战役,在疾病诊疗的“毫米战场”上,让高龄老人闯过手术难关,让“静音”宝宝听见世界,让血管“炸弹”消弭于无形……这些藏在手术刀下的生命故事,正于普通的日常中,默默书写着健康中国的鲜活注脚。
七旬心脏移植老人患多发肿瘤,华山团队全腹腔镜手术3小时清除
71岁的山东老先生在7年前,因终末期心力衰竭做了心脏移植,需终身服用免疫抑制剂防止排斥反应,还患有2型糖尿病。2024年底体检,他被查出升结肠癌、直肠癌(双原发)、肝左外叶两处转移灶,还有胆囊结石伴慢性胆囊炎,肿瘤标志物猛升,病情危急。经当地医生推荐,他慕名来到复旦大学附属华山医院胃肠外科主任医师蒿汉坤的门诊。
心脏移植术后的患者手术风险极高,耐受不了长时间大创伤的开放手术,医生要同时处理结肠、直肠、肝脏、胆囊多处病灶,同时长期免疫抑制状态也让术后感染风险大增。
面对这些棘手问题,蒿汉坤马上召集麻醉科、消化科、肝胆外科、胸心外科和护理团队会诊。专家们评估后认为,患者的原发和转移病灶均可切除,全腹腔镜手术是最佳选择。“这种手术全程在腹腔镜监控下完成清扫、游离和吻合等操作,创伤小、疼痛少、恢复快。但同期处理多器官病变,对手术团队技术、麻醉方案要求极高,得在最短时间精准完成手术,降低对心肺的打击。”蒿汉坤说。

麻醉团队精心设计方案,手术中全程监测患者心脏功能。蒿汉坤团队仅用3小时10分钟,就顺利完成肝左外叶切除、胆囊切除、右半结肠切除、直肠前切除4项高难度手术。手术没有大切口,腹部取标本切口仅5厘米,切除标本最大长径20厘米,出血不到50毫升,术后也没留胃管或肛管。
术后管理同样关键。针对老人的免疫抑制状态,专家们精细调整了抗肿瘤、抗感染和营养支持方案。在护理团队管理下,老人术后第1天就能饮水、在床上活动,第2天排气后下床,第3天流质饮食,第7天正常排便,第8天顺利出院。
这场手术,是多学科协作闯过 “手术禁区” 的漂亮仗,让曾被视为 “不可能” 的手术,因微创技术的突破和团队的默契配合,成为更多复杂病例的救治新希望。
无声宝宝听见世界:
儿科医院妙手破解耳聋迷宫
“哇——”一声响亮的啼哭打破诊室的安静。6月9日,人工耳蜗外机开机的瞬间,小宇(化名)人生中第一次用力回应这个世界。一旁的妈妈和外婆红了眼眶,这个出生就被困在无声世界的孩子,终于听见了外界声响。

在儿科医院耳鼻咽喉头颈外科陈文霞专家门诊,术后首次随访的小宇获得了新“声”
年近一岁的小宇天生被“静音”。双侧极重度感音神经性耳聋像无形的墙,右侧耳蜗完全缺失,左侧耳蜗发育畸形,听神经纤细如丝,当地医院面对如此棘手的情况直摇头,手术就像在没有地图的迷宫里穿针,稍有不慎就可能引发脑脊液漏,风险太大!
辗转求医的一家人来到复旦大学附属儿科医院,耳鼻咽喉头颈外科副主任陈文霞团队接过这个“烫手山芋”。
“再等下去,孩子的言语和认知发育都会受到不可逆影响。”多轮讨论后,陈文霞团队为小宇制定了“双耳差异化植入方案”,还请来了“透视眼”O臂机(术中辅助CT技术)术中精准导航。

专家团队根据术中影像为患儿采取个性化植入方案
手术台上,主刀医生像完成精密工作的“管道工”,在小宇左侧采用耳后微创入路,保留重要骨性结构,用自体肌瓣充当“防水补丁”堵住风险区,防范脑脊液漏并成功植入电极,诱发出神经反应;右侧则创新采用水平半规管“借道”,以非标准角度精准植入电极。3个多小时里,O臂机如同“实时地图”,让每一步操作都清晰可见,为这例高难度人工耳蜗植入手术保驾护航。

术中“O”臂机成像后判断双耳耳蜗电极位置符合预期
如今,小宇的哭声成了最动听的乐章。这个国内最早开展儿童听觉植入的诊治中心已累计完成多例人工耳蜗植入手术,正通过开创性应用水平半规管入路、术中辅助CT技术及差异化植入策略,不断攻克传统手术禁区,实现复杂解剖变异下的精准听觉重建,为更多“无声宝宝”拆除命运的隔音墙。
血管峡谷中的“拆弹行动”:公卫中心微创治疗复杂髂动脉瘤
无需大动干戈,也能像“血管绣花”般精准修复病变,让患者术后回归正常生活。近日,37岁的汪先生(化名)突发持续性腰背胀痛,CT(电子计算机断层扫描)检查发现右侧髂总动脉瘤累及腹主动脉下端、右侧髂内动脉瘤,同时还伴有右侧髂外动脉夹层动脉瘤形成,这意味着其体内存在多处随时可能破裂的“血管炸弹”,一旦血管破裂将危及生命。然而,由于汪先生合并特殊感染,病情复杂,辗转多家医院均未能得到及时有效治疗。
“传统的开放性人工血管置换手术创伤巨大,并发症多。”上海市公共卫生临床中心介入科周粟主任团队接诊后,决定采用微创的腹主动脉腔内修复术(EVAR)搭配髂动脉分支支架(IBD)技术精准“拆弹”。

在时长2小时的手术中,团队精准释放髂动脉分支支架与腹主动脉覆膜支架,在隔绝髂总、髂内动脉瘤及髂外动脉夹层的同时,成功将分支支架延伸入右侧髂内动脉远端分支,保障重要血流不中断。术后次日汪先生就能下床活动,并在不久后康复出院。

动脉瘤腔内修复术前后造影
复查显示,支架位置精准,瘤体和夹层被有效隔绝,髂内动脉血流通畅无渗漏。手术不但为汪先生消除了致命风险,而且从根源上预防了因髂内动脉闭塞导致的臀部缺血性疼痛、跛行、坏死以及性功能障碍等问题。
周粟介绍,对于累及髂内动脉的复杂动脉瘤,EVAR联合IBD技术代表前沿微创方向,不仅能有效隔绝瘤体、挽救生命,更能精准重建重要分支血管血流,显著降低术后并发症,尤其有助于保障患者的长期生活质量。
心脏瓣膜的精准置换:金山医院为八旬老人修复生命泵
80岁的朱阿婆最近遇上大麻烦,原本只是爬楼喘气的老毛病,突然发展到整夜坐着无法躺卧,胸口像压着巨石般憋闷。原来,位于心脏左下腔室和主要动脉之间的瓣膜闭合不严,结果导致从心脏主要泵血腔泵出的部分血液渗漏流回了左心室,而这种回流阻碍心脏有效将血液泵送到身体的其他部位。

“她整夜无法入睡,只能枯坐着干熬到天亮。”家人紧急送医后发现,她的主动脉瓣反流已发展为重度,心脏功能受到严重影响,手术治疗刻不容缓。

但传统开胸换瓣对高龄老人风险极高,更何况朱阿婆的瓣膜因反流呈现特殊解剖结构,新瓣膜很难固定。对此,复旦大学附属金山医院心血管内科主任龚辉带领团队迎难而上,手术当天,在中山医院专家指导下,心超、影像、麻醉等多学科团队密切配合,成功实施经导管主动脉瓣置换术(TAVR),通过小小的创口,把折叠的人工瓣膜“顺水管”送入心脏,精准撑开并固定,替换掉“漏风”的旧瓣膜。该手术也是上海郊区医院首次针对主动脉瓣重度反流病例开展的微创治疗。
“这类反流患者的瓣膜没有严重钙化,就像光滑的玻璃面,瓣膜锚定必须分毫不差。”龚辉解释,团队让新瓣膜牢牢“站稳”在正确位置,成功解决了瓣膜易移位的难题。

术后,朱阿婆很快就能下床活动,憋闷感明显缓解。复查显示,她的心脏明显缩小,心肌收缩力大幅增强。“夜里坐着熬到天亮,现在能睡踏实觉了!”阿婆的笑容里满是轻松。
作为区域主要介入治疗中心,金山医院心内科团队已常规开展各类心脏介入治疗,未来将持续优化微创技术临床应用路径,通过多学科协作,让更多心脏病患者在家门口就能用上更精准、安全的先进技术。
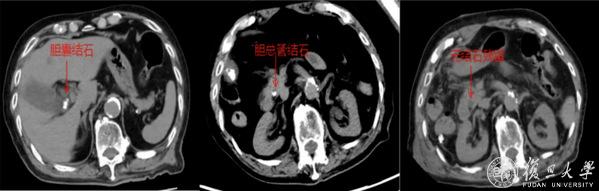
胆道的微创突围:浦东医院为世纪老人疏通生命管道
近日,100岁的陈爷爷突然右上腹剧痛、高烧不退,急诊确诊为:胆囊结石伴急性胆囊炎、胆总管结石伴急性胆管炎。老人免疫力差,感染像野火一样蔓延,再不动手术就可能休克甚至丧命,但传统开腹手术创伤大,术后并发症风险极高,对百岁老人来说更是风险堪比“走钢丝”,如何选择手术方式成为治疗关键。

经多学科团队综合评估后,复旦大学附属浦东医院肝胆外科主任王晓亮、主任医师李春生团队决定采用腹腔镜联合经胆囊管胆总管取石术(TC-CBDE)帮助老人渡过难关。
手术台上,医生先切除了穿孔坏疽的胆囊,再像“穿针引线”一样,通过胆囊管这个“天然隧道”,把胆总管里的结石一颗颗取出来。全程90分钟,未出现胆道损伤、出血等并发症。术后重症医学科蔡金芳主任团队监护治疗,为老人安全保驾护航。术后第二天转入普通病房,术后7日便康复出院。
这种技术有三大好处。一是不切开胆总管,传统手术切开胆总管后得插管引流,住院时间长且存在胆漏、胆管狭窄等风险,而现在通过胆囊管取石,能避免胆总管损伤,降低术后并发症。二是手术时间短、创伤小,腹腔镜微创切口小,对心肺功能较差的老人更安全;三是恢复快,术后无需长期带管,老人能早吃饭早活动,恢复速度远超传统手术。

“高龄不是手术禁区,关键看技术能不能‘量体裁衣’。”团队介绍,此次手术靠多学科联手,才让百岁老人闯过难关。如今,这种微创技术为更多高龄胆道疾病患者点亮了生命希望。
从高龄老人全腹腔镜手术,到婴孩耳蜗电极植入,从血管内支架释放,到心脏瓣膜精准定位,优质医疗的本质,是让生命的每个刻度都拥有绽放的权利。复旦上医人用微创技术重新定义生命的可能,这些闪耀在病例中的生命奇迹,背后是硬核技术构筑的实力基石,是多学科协作如精密齿轮般的无间配合,更饱含着“为人群服务”这一医学信仰的温暖底色。








