上新啦!复旦大学科技工作者近期又取得了一系列瞩目的成果与突破,小编整理了11月部分科研成果,速速一睹为快!

科研奖励
复旦高跃团队获2025年中国通信学会科学技术奖一等奖
未来信息创新学院高跃教授领衔完成的《宽带电磁信号压缩采样理论与智能识别方法》项目,从众多优秀成果中脱颖而出,荣膺中国通信学会科学技术奖一等奖。
该研究围绕宽带电磁信号处理的关键难题,在压缩采样理论与智能识别方法上取得了创新性突破,建立了高效、多频带、智能信号处理的新路径。为卫星互联网、低空经济等领域的应用提供了基础理论与关键技术支撑。“中国通信学会科学技术奖”是在信息产业部的支持下,经国家科技部批准,由中国通信学会面向全国通信行业设立的经常性科学技术奖,用来奖励在通信科学研究、技术创新与开发、实现高新技术产业化和科技成果推广应用等方面取得成果或者做出突出贡献的个人和组织。
新闻链接:https://mp.weixin.qq.com/s/ZoP_peS0Q1Af5v9ybJ1QGg
科研进展
数学物理领域
1.揭示转角双层NiI2中莫尔诱导的磁电耦合新机制
11月3日,物理学系徐长松青年研究员和向红军教授团队在磁性莫尔超晶格材料的磁电耦合研究领域取得进展。相关研究成果以“Moiré-Induced Magnetoelectricity in Twisted Bilayer NiI2” 为题,发表在Physical Review Letters。
为实现对转角磁性体系在莫尔尺度下的精确模拟,研究团队发展了面向磁性体系的机器学习势函数框架SpinGNN++。研究发现,随着扭转角度的减小,层间莫尔势显著增强。当转角约为2.13°时,体系中出现与莫尔势同步调制的有序自旋螺旋结构,其诱导的铁电极化分布亦呈现出与莫尔势空间周期相一致的图样。研究进一步揭示,转角体系中的铁电极化并非源于单一机制,而是由离子位移、自旋序诱导及堆垛等多重因素共同驱动。

无扭转时双层NiI2的堆垛依赖性质
新闻链接:https://phys.fudan.edu.cn/84/c6/c7609a754886/page.htm
原文链接:https://doi.org/10.1103/p6n8-n1rx
2.发现晶体中普遍存在的声子热霍尔效应
11月3日,物理学系、应用表面物理全国重点实验室李世燕教授课题组在热霍尔效应研究方面取得重要突破。他们测量了绝缘体SrTiO₃、SiO₂、MgO、MgAl₂O₄以及高纯本征半导体Si和Ge单晶,发现这些典型非磁性材料在磁场下均表现出显著的声子热霍尔效应,且均遵循∣κxy∣∼κₓₓ²的标度关系。相关成果以“Discovery of universal phonon thermal Hall effect in crystals”为题,发表在Physical Review Letters。
研究结果显示声子热霍尔效应是晶体的一个普遍属性,而不依赖于磁性环境、手性结构或缺陷等外因。这为理解之前各种材料中观测到的热霍尔效应提供了新的统一视角并揭示了固体物理中此前未被注意的声子与磁场相互耦合的基本物理。

热霍尔效应测量示意图
新闻链接:https://phys.fudan.edu.cn/86/5a/c7609a755290/page.htm
原文链接:https://journals.aps.org/prl/abstract/10.1103/r572-5dfm
3.提出重标度施瓦茨-克里斯托费尔变换用于多物理场界面匹配
11月17日,物理学系黄吉平教授团队与中国工程物理研究院研究生院须留钧副研究员以及南通大学戴高乐博士合作,针对超构材料器件与背景环境连接时的“界面失配”问题,提出了一种名为“重标度施瓦茨-克里斯托费尔变换”的半解析理论方法。相关研究成果于2025年11月17日以“Rescaled Schwarz-Christoffel Transformations for Isotropic, Polygon, and Multiphysics Metamaterials”为题发表于Physical Review Letters。
为验证该理论的有效性与普适性,研究团队设计并展示了三种典型的多物理场功能器件——扩展器、引导器和隐身斗篷,成功实现了对热场和电磁场的协同调控。该理论所设计的器件具有多边形几何特征,天然兼容现代印刷电路板上的模块化元器件布局,为解决集成电路中的热-电磁串扰等关键技术难题开辟了全新的途径。

基于重标度施瓦茨-克里斯托费尔变换的设计原理与应用
新闻链接:https://phys.fudan.edu.cn/8d/45/c7609a757061/page.htm
原文链接:https://journals.aps.org/prl/abstract/10.1103/nzvh-lxr8
4.提出朗道能级的晶格化描述
10月19日,为了解决在晶格系统中实现更高朗道能级的物理模拟难题,物理学系王靖团队成功构建了最小化的三轨道晶格模型,首次在无需外加磁场的条件下实现了对最低朗道能级和第一朗道能级的轨道描述,并为探索非阿贝尔分数陈绝缘体提供了全新平台。相关研究成果以“Orbital Description of Landau Levels”为题,发表于Physical Review Letters。
这项工作最关键的突破在于,通过能带反转的图像建立了晶格中陈带与朗道能级之间的联系,这不仅为朗道能级晶格化的研究提供了新视角,更使得在零磁场环境下实现非阿贝尔态成为可能,并为更高朗道能级的晶格化开辟了道路。

斯格明陈带模型中原子极限到朗道能级的绝热演化过程; s、p-、p+ 轨道构成的紧束缚模型
新闻链接:https://phys.fudan.edu.cn/8e/57/c7609a757335/page.htm
原文链接:https://journals.aps.org/prl/abstract/10.1103/8d4z-dy82
5.实现原子内态自旋和集体自旋的协同压缩
11月20日,物理学系肖艳红教授课题组首次在实验上实现了原子内态自旋和集体自旋的协同压缩,文章以“Cooperative Squeezing of Internal and Collective Spins in an Atomic Ensemble”为题,发表在Physical Review Letters上。
研究通过调控与原子相互作用的脉冲光场,在同一个原子系综内先后进行了原子内态的单轴扭曲相互作用和对集体态的量子非破坏性测量,并精细操控二者之间的相对相位,最终获得原子内态和集体态自旋的协同压缩,产生的总压缩度优于仅有一个压缩过程单独作用时的自旋压缩度,观察到-3.57±0.67dB的自旋压缩。在加入回溯量子非破坏测量后,总压缩度进一步提高到了-6.21±0.84dB。本研究中所发展的量子态操控技术在其它量子平台,例如冷原子、里德堡原子、离子阱体系中也有着广阔的应用前景。

原子内态自旋和集体自旋协同压缩原理示意图
新闻链接https://phys.fudan.edu.cn/8f/74/c7609a757620/page.htm
原文链接:https://doi.org/10.1103/xkt1-y58b
化学材料领域
阴离子辅助铜/手性二胺催化氧气参与的氧化反应实现轴手性萘酚的动力学去芳构化螺环化反应
11月2日,化学系朱灿团队发展了一种新的分步的单电子转移(SET)氧化策略实现极性逆转,进而发展2-萘酚与外源亲核试剂的氧化性不对称去芳构化反应,相关研究成果以“Anion-Assisted Copper/Chiral Diamine-Catalyzed Aerobic Oxidation for the Kinetic Dearomative Spirocyclization of Arenols”为题发表在Angew. Chem. Int. Ed.上。
该反应利用了一种新型的空气氧化体系:以氧气作为终端氧化剂,阴离子辅助铜/手性二胺催化轴手性萘酚发生动力学去芳构化螺环化转化,同时高效获得光学活性的轴手性苄醇与手性氧杂螺环化合物,去芳构化转化展示了良好的对映选择性。该工作提出了一种具有普适性和环境友好性的氧化不对称去芳构化策略,促进了对萘酚的利用以及后续多种有价值的手性化合物的合成。

反应机理图
新闻链接:https://chemistry.fudan.edu.cn/89/8e/c45206a756110/page.htm
原文链接:https://onlinelibrary.wiley.com/doi/10.1002/anie.202519818
地球科学领域
1.影响夏季北半球环状模的热带平流层机制
11月1日,大气与海洋科学系王蕾团队与兰州大学合作,揭示了热带平流层准两年振荡(QBO)通过其“副热带路径”调制夏季中高纬度大气环流的关键途径。相关研究成果以“The Influence of the Vertical Structure of QBO on the Summer NAM”为题,发表于Journal of Climate。
研究发现,当QBO处于“深厚东风位相”(即中低平流层均为东风,DEQBO)时,其垂直结构会引起热带平流层异常的上升运动、副热带平流层异常的下沉运动。为了维持热乘风平衡,这种顺时针经向环流在副热带上对流层下平流层区域诱发了正的经向温度梯度和东风异常。与DEQBO相关的东风异常进入副热带对流层,使对流层副热带急流减弱,从而引起向赤道方向传播的波以及向极地方向的涡动动量通量异常,进一步增强了极锋急流,促进夏季北半球环状模(NAM)正位相形成(图1)。通过采用SC-WACCM模式进行敏感性试验,验证了上述机制的可靠性。研究结果为提升夏季NAM的季节预测能力提供了新的理论依据与预报思路。

(a)QBO深厚东风位相(DEQBO)减深厚西风位相DWQBO合成的纬向平均纬向风异常(填充色)和纬向平均温度异常(等值线),实线表示正温度异常,虚线表示负温度异常。(b)DEQBO 减DWQBO合成的剩余经向环流异常(箭头,单位:m s-1)及流函数异常(填充色)。(c)DEQBO减DWQBO合成的EP通量异常(箭头)及其散度异常(填充色),绿色等值线表示夏季气候态的纬向平均纬向风,实线为西风,虚线为东风。(d)合成的涡动动量通量异常(等值线,(及其散度异常(填充色)。打点区域代表通过了置信度为90%的显著性检验。
原文链接:https://doi.org/10.1175/JCLI-D-24-0529.1
2.引入大气稳定度改进基于神经网络的尺度自适应云量参数化方案
11月3日,大气与海洋科学系陈国兴青年研究员团队开发了一个新的基于神经网络的尺度自适应(NSA2)云量参数化方案。相关研究结果以“An Improved Neural Network-based Scale-adaptive Cloud Fraction Scheme: Incorporation of Atmospheric Stability”为题发表在Journal of Geophysical Research: Atmospheres上。
为了解决大气环流模式中,云量参数化方案普遍存在较大偏差的问题,该研究在NSA1方案基础上,以一种灵活的方式在输入层中引入了表征大气稳定度的变量以提升方案对低云云量的预测能力,同时在输出中新增了体积云量这一物理量,有助于更准确地刻画云量对云微物理过程和大气化学反应的影响,提升相关过程的模拟精度。在测试集上以及离线数据集上,NSA2方案较NSA1方案表现出更高的云量预测精度,表明了其在天气与气候模式中改善云量及其相关气候效应模拟方面的潜力。

NSA1与NSA2方案基于CloudSat 2006-2019数据模拟的全球云量纬向平均垂直分布相对于CloudSat观测结果的误差分布图。
新闻链接:https://mp.weixin.qq.com/s/A_uhDt44O4LAX-5rZOL2OQ
原文链接:https://agupubs.onlinelibrary.wiley.com/doi/10.1029/2025JD044619
3.大气环流模态对冬季欧亚年代际降温的调控
大气与海洋科学系温之平教授课题组与挪威卑尔根大学学者合作,针对全球变暖背景下,21世纪初欧亚大陆气温出现阶段性“逆势”下降的现象展开研究,定量评估了气候系统内部变率和外部强迫的相对贡献,并揭示了主导欧亚大陆冬季年代际降温的关键大气环流模态。相关研究成果11月初以“Atmospheric circulation regimes modulating Eurasian winter decadal cooling”为题,发表于npj Climate and Atmospheric Science。
研究发现,自1900年以来欧亚大陆发生的三次显著年代际降温事件主要由气候系统内部的自然变率驱动,而非人类活动等外因主导。其中,斯堪的那维亚环流型(SCAND)的正位相趋势是导致欧亚降温的主要因子,而不同的北大西洋涛动(NAO)趋势则对降温幅度起到调制作用。这项研究为理解欧亚中纬度地区气候变化的复杂性和不确定性提供了新视角,也为该区域应对气候变化、保障能源安全和制定适应策略提供了科学依据。

(a)1900年以来欧亚大陆出现的三次显著年代际降温事件。(b)至本世纪末强欧亚年代际降温事件发生概率的变化情况。
原文链接:https://www.nature.com/articles/s41612-025-01228-0
新工科领域
1.Science | 临床可用磁控微机器人实现多模块整合
11月13日,由瑞士苏黎世联邦理工学院牵头,智慧纳米机器人与纳米系统国际研究院陈相仲与德国维尔茨堡大学、西班牙巴塞罗那大学以及义乌研究院等多家单位参与共同完成以“Clinically ready magnetic microrobots for targeted therapies”为题的研究成果,发表于Science。
研究系统展示了一个能够在真实临床条件下运行的磁控微机器人平台,实现了从材料、导航系统、影像可视化到靶向释放的多模块整合,首次在工程化程度上接近“临床可用”。平台由双电磁导航系统、特制释放导管以及可降解药物胶囊机器人组成,可在临床工作区域内精准操控微机器人在复杂血管网络中前行。研究团队在猪、羊等大动物模型中完成了导航、定位、药物释放等全流程实验。

新闻链接:https://iiinn.fudan.edu.cn/75/9e/c46031a751006/page.htm
原文链接:https://www.science.org/doi/10.1126/science.adx1708
2.在6G太赫兹通信领域实现核心器件高带宽与高光电变换效率的平衡
11月10日,未来信息创新学院余建军教授团队联合上海科技大学陈佰乐研究团队在Nature Photonics上发表了题为“Over-200 GHz bandwidth MUTC Photodiodes with 0.81 A/W external responsivity”的研究成果。
研究展示了一种基于磷化铟的波导集成改进型单行载流子光电二极管。通过对载流子输运、光耦合效率以及波导结构的精心优化,成功解决了光电探测领域长期存在的带宽-效率权衡瓶颈问题,最终实现了3 dB带宽206 GHz和0.81 A/W外部响应度的倏逝耦合波导光电探测器,带宽效率积超过130 GHz,树立了光电探测领域BEP指标的新标杆。作为概念性验证,基于光子辅助的通信架构,利用研制的MUTC-PD在没有任何太赫兹放大器的情况下,实现了室内54米最高速率可达120 Gbps的无线传输演示。

新闻链接:https://mp.weixin.qq.com/s/hBnzFETTJxhD-01ovwCfUg
原文链接:https://www.nature.com/articles/s41566-025-01784-0
3.在超高速光加密领域取得重要进展
11月19日,未来信息创新学院迟楠教授、张俊文教授团队联合上海理工大学、张江实验室,针对传统光无线通信物理层安全薄弱的问题,从密码学经典思想“糠与麦”中获得启发,提出并实验验证了一种基于时空噪声掺混的超高速光学物理层加密系统。相关研究成果以“Ultrahigh-speed optical encryption enabled by spatiotemporal noise chaffing”为题,发表于Nature Communications。
该体系通过在空间上叠加对称的共轭轨道角动量模态,在光场中同时加载真实信号与随机噪声,使得未经授权的接收者无法直接分辨时域信号,从而在物理层实现“真信号被噪声掩盖”的高安全传输。研究成果不仅突破了传统光学加密受限于空间调制带宽的瓶颈,也为6G及卫星光通信提供了可扩展的安全传输方案。

时空噪声掺混方案的概念和性能示意图
新闻链接:https://mp.weixin.qq.com/s/bVOsIzYOdiI4EB-K_o9qDw
原文链接:https://www.nature.com/articles/s41467-025-65111-5
4.在等离子体高效智能计算方面取得重要进展
11月20日,未来信息创新学院电磁波信息科学教育部重点实验室研究员付海洋团队在Machine Learning: Science and Technology 发表最新研究成果,题为“Data-driven modeling of electrostatic turbulence by physics-informed Fourier neural operator”。
该研究提出了一种融合物理约束的傅里叶神经算子框架(PIFNO),为等离子体的高效建模提供了新的解决思路。研究结果表明,PIFNO能够同时精确预测密度、速度、压力张量、三阶热流及电场等关键物理量;相比经典的Hammett–Perkins闭合模型,更能再现朗道阻尼过程;在相同尺度下,其推理速度较全动理学模拟提升约1000倍。此外,物理约束的引入有效抑制了长时演化中的涡量结构偏移与能量传输误差,并显著降低了对大规模训练数据的依赖。

新闻链接:https://mp.weixin.qq.com/s/rDU43mQdPJD0QLBrb3JQKA
原文链接:https://iopscience.iop.org/article/10.1088/2632-2153/ae19cd
5.通过能带工程与晶体面内各向异性协同实现高性能自供电偏振光电探测器
11月24日,未来信息创新学院张荣君教授带领研究团队在国际期刊Journal of Materials Science & Technology上发表题为“Broadband polarimetric photodetector based on semimetallic 1T'-MoTe2/MoSe2 heterojunction for self-powered imaging and coded communication”的研究论文,通过协同能带工程和晶体各向异性,在自供电偏振敏感光电探测器研究方面取得重要进展。
研究系统阐释了1T′-MoTe2在宽谱范围内的各向异性光学性质,并基于能带工程策略,将拓扑半金属的独特能带结构与典型半导体的光电优势相结合,研制出兼具自驱动、宽谱响应与偏振敏感功能的集成光电器件。该研究为发展高性能、低功耗、小型化的新一代光电子系统提供了可行的材料方案与器件设计思路,对推动红外成像、偏振传感与光通信等技术的集成化发展具有积极意义。

新闻链接:https://mp.weixin.qq.com/s/7H6AJuI6hrZwLpdS3J1iBw
原文链接:https://doi.org/10.1016/j.jmst.2025.10.066
生命医学领域
1.Nature | 饿一饿更健康?Nature发文揭示原因
11月13日,上海医学院雷群英团队在Nature发表题为“Cytosolic acetyl-coenzyme A is a signalling metabolite to control mitophagy”的研究论文。
首次揭示了乙酰辅酶A作为“代谢信使”的非经典功能,突破传统认知发现其可以直接与关键蛋白NLRX1相互作用,直接调控线粒体自噬,而无需通过AMPK和mTOR这两条经典营养感知通路。同时团队发现,肿瘤细胞在KRAS抑制剂面前,会下调ACLY蛋白,导致细胞内乙酰辅酶A水平下降,这一变化意外地激活了以NLRX1为核心的线粒体自噬通路,成功减轻了药物带来的氧化应激,从而逃避杀伤、产生耐药。实验证实,敲除NLRX1或使用线粒体自噬抑制剂Mdivi-1,能显著增强KRAS抑制剂的抗肿瘤效果。该研究为克服胰腺癌KRAS抑制剂耐药提供了全新治疗靶点,在代谢生物学与肿瘤学交叉领域取得突破性进展。

新闻链接:https://news.fudan.edu.cn/2025/1113/c31a147306/page.htm
原文链接:https://www.nature.com/articles/s41586-025-09745-x
2.揭示TBCK-PPP1R21-C12orf4复合体亚基失活突变导致内体异常和神经发育障碍的分子机制
11月8日,复旦大学附属妇产科医院王红艳和生命科学学院王陈继团队在Science Bulletin发表了题为TBCK syndrome pathogenesis: the TBCK-PPP1R21-C12orf4 complex regulating RAB5-dependent endo-lysosomal homeostasis的研究论文,对TBCK基因突变导致TBCK综合征的致病机理进行了深入探索。
研究团队揭示描绘了TBCK综合征的全新发病图景:TBCK-PPP1R21-C12orf4复合物行使RAB5的GTP酶活负调控因子的角色,在神经发育过程中维持内吞、溶酶体与自噬的平衡;当该复合物功能受损时,细胞内体-溶酶体系统稳态被打破,进而导致神经元结构与功能障碍,并引发一系列临床表型。该研究不仅阐明了TBCK-PPP1R21-C12orf4复合体亚基失活突变致病的分子机制,同时提示,靶向降低RAB5活性是治疗这类罕见病的潜在干预策略,为精准医学和药物研发提供了新方向。

新闻链接:https://shmc.fudan.edu.cn/news/2025/1123/c1892a147454/page.htm
原文链接:https://www.sciencedirect.com/science/article/pii/S2095927325010576
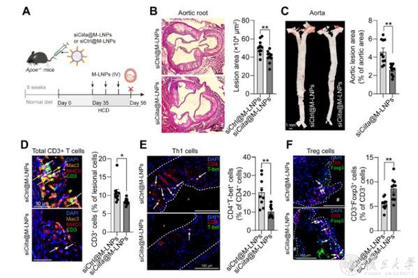
3.提出动脉粥样硬化防治新策略,靶向巨噬细胞抗原呈递
11月11日,基础医学院免疫学系魏园园团队在European Heart Journal发表了题为“Enhanced antigen presentation by macrophages promotes human atherosclerosis progression: therapeutic implications”的研究论文。
该研究首次阐明了在动脉粥样硬化患者的易损斑块中,巨噬细胞通过反义长链非编码RNA(lncRNA)CIITA-AS1及非编码转录本CIITA-ISO.5增强MHCII介导的抗原呈递能力,进而原位激活斑块T细胞免疫应答,驱动斑块炎症与疾病进展。该发现不仅揭示了动脉粥样硬化斑块易损的关键免疫学机制,也为精准抑制动脉粥样硬化斑块炎症提供了新的潜在靶点。

新闻链接:https://shmc.fudan.edu.cn/news/2025/1118/c1892a147339/page.htm
原文链接:https://academic.oup.com/eurheartj/advance-article/doi/10.1093/eurheartj/ehaf878/8321195?searchresult=1
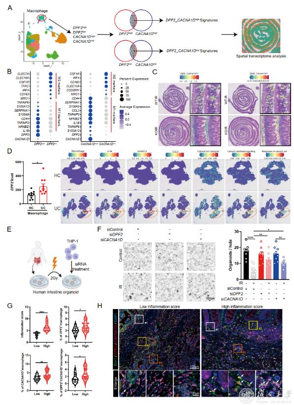
4.揭示巨噬细胞中SWI/SNF复合物在放射性肠损伤中的重要作用
11月12日,放射医学研究所畅磊研究员、邵春林研究员和苏州大学附属第一医院郭凌川教授团队合作在Proceedings of the National Academy of Sciences of the United States of America上发表题为“The SWI/SNF chromatin-remodeling subunit DPF2 regulates macrophage inflammation in intestinal injury via CACNA1D-mediated MAPK pathway”的研究论文,揭示了DPF2在巨噬细胞中作为肠道损伤免疫反应中关键调节剂的重要作用,其中DPF2的缺失通过减少细胞凋亡、抑制炎症和增强上皮细胞增殖来促进肠道修复。
DPF2缺乏导致会CACNA1D mRNA表达受损,细胞内钙含量降低,促进抑炎巨噬细胞极化。因此,DPF2和CACNA1D在肠道炎症中发挥重要作用,可能是缓解RIII的重要靶点。这些发现确定DPF2是染色质调控和肠道恢复之间的关键联系,为肠道修复的机制提供了新的见解。

新闻链接:https://shmc.fudan.edu.cn/news/2025/1118/c1892a147340/page.htm
原文链接:https://www.pnas.org/doi/10.1073/pnas.2518762122
5.发现多模态生物标志物可预测脑深部电刺激对抑郁焦虑疗效
11月18日,类脑智能科学与技术研究院、英国剑桥大学精神病学系联合上海交通大学医学院附属瑞金医院功能神经外科针对抑郁症脑深部电刺激(DBS)治疗效果个体差异背后的神经机制,在国际期刊Nature Communications发表了题为 “Predictive neurophysiological and behavioral biomarkers for therapeutic response to BNST-NAc deep brain stimulation in treatment-resistant depression”的研究成果。
研究结果显示,终纹床核(BNST)区域的θ波活动可在术前稳定预测术后数月至一年间抑郁和焦虑症状的改善幅度,且在不同状态下均表现出一致性。在机制层面,研究进一步揭示了前额叶皮层对 BNST 的自上而下调控是DBS疗效差异的重要来源。除神经生理信号外,术前的“负性情绪唤醒偏向”也与DBS疗效密切相关,并与BNSTθ波活动呈稳定关联,为构建整合行为学与脑网络信息的疗效预测体系提供了新的方向。

新闻链接:https://mp.weixin.qq.com/s/kUyIdtMFCEwzQVS7znV9xA
原文链接:https://www.nature.com/articles/s41467-025-65179-z
6.首次揭示PKM2介导乳酸化修饰驱动PCOS颗粒细胞3D基因组重塑
11月19日,复旦大学附属妇产科医院黄荷凤院士团队在Signal Transduction and Targeted Therapy上在线发表了题为“PKM2-mediated Histone Lactylation Alters Three-dimensional Genomic Architecture in Polycystic Ovary Syndrome”的研究成果,揭示了多囊卵巢综合征(PCOS)的发病机制。
该研究创新地揭示了核内丙酮酸激酶PKM2通过介导组蛋白乳酸化重塑三维基因组结构B到A区室转换,TADs融合,短距离环路增加,从而驱动多囊卵巢综合征雄激素合成CYP17A1和CYP11A1等相关基因表达,雄激素进一步促进PKM2入核介导组蛋白乳酸化修饰正反馈加剧PCOS恶性循环。研究成果不仅揭示了PCOS中存在着先前不为人知的代谢酶驱动组蛋白乳酸化修饰新机制,还描绘了PCOS疾病中染色体三维基因组结构的全局变化,为临床PCOS的预防和靶向治疗奠定了坚实的理论基础和数据支撑。

新闻链接:https://shmc.fudan.edu.cn/news/2025/1123/c1892a147453/page.htm
原文链接:https://www.nature.com/articles/s41392-025-02468-5








